S H C Department

Preserving the material memory of science

The Scientific Heritage Conservation Department safeguards the collections that form the physical foundation of research at the ADARA Institute. We curate and preserve scientific materials of diverse origin—extraterrestrial, geological, biological, botanical, histological, and pathological—ensuring they remain reliable, well-documented, and accessible. Our work encompasses meteorites, planetary materials, rocks, mineralogical references, botanical samples, biological tissues, and microscopic preparations, each treated as a unique scientific asset reflecting processes from solar system formation to the complexity of life on Earth.

All samples are conserved under strict laboratory and documentation standards, following international guidelines across disciplines. Through this multidisciplinary approach, the department maintains a comprehensive scientific reference collection while promoting engagement through exhibitions, educational resources, loan programs, and collaborations with researchers and institutions worldwide. Our mission is to ensure that every specimen remains a lasting source of knowledge and scientific interpretation.

Important Projects

Some interesting projects currently under development in our department.

herbarium
Collections

Herbarium

A curated collection of preserved botanical specimens, celebrating the diversity and quiet beauty of the natural world.

Know more
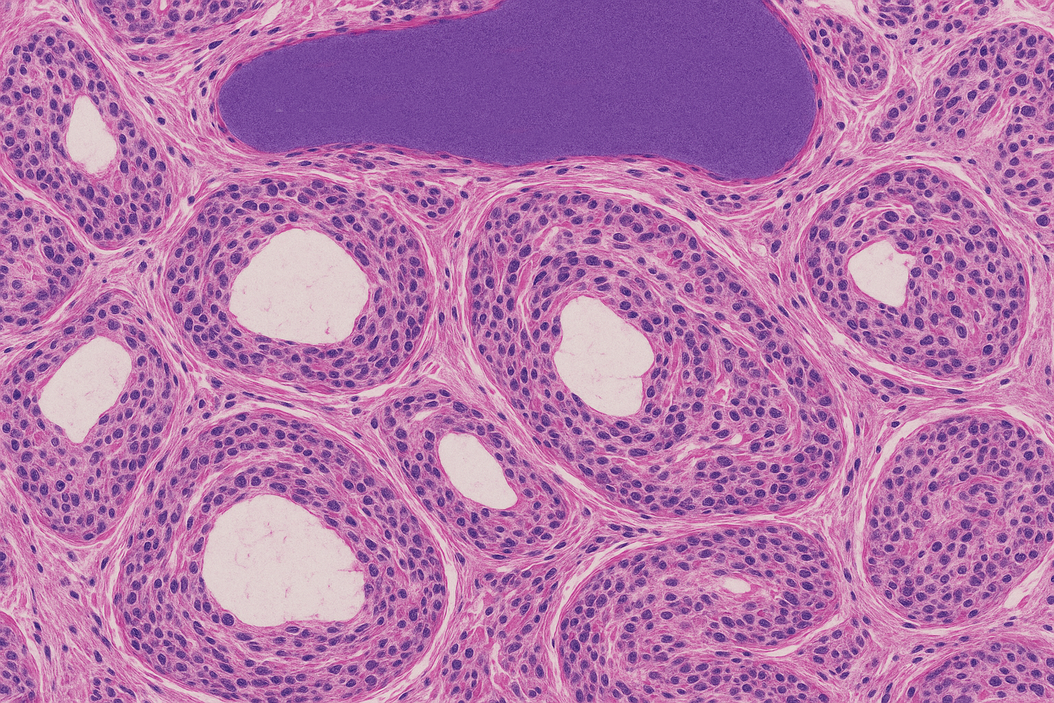
histological samples
Microbiology

Histopathology/Biology samples

A curated selection of histopathological and biological specimens showcasing the microscopic architecture of human, animal and botanical tissues for scientific study and reference.

Know More
Fluorescent minerals
Fluorescent minerals

Fluorescent minerals

The ADARA Institute houses a curated collection of fluorescent minerals that reveal vibrant colors under UV light, offering a striking visual insight into mineral chemistry and luminescent geological processes.

Know more
Dinosaur fossils
Natural History

Dinosaur fossils

The ADARA Institute preserves an exceptional collection of fossil bones and paleontological specimens, offering a tangible glimpse into ancient ecosystems and the evolutionary history recorded within Earth’s deep geological past.

Know more
Collections in our Department

• Histological, Histopathological and biological samples.
• Astromaterials and geological thin sections samples.
• Botanical samples and Herbarium.
• Fossils, minerals and fluorescent minerals.
• Other samples.